8"-->8"--> 8"-->8"-->8"-->8"-->8"-->8"-->8"-->8"-->8"-->8"-->8"-->8"-->8"-->8"-->8"-->8"-->8"-->8"-->8"-->8"-->8"-->8"-->8"-->8"-->8"-->8"-->8"-->8"-->8"-->8"-->8"-->8"--> 8"-->
Menu
Figges Marsh Dental - Main logo

Figges Marsh Dental 9 Streatham Road Mitcham Surrey CR4 2AD

I would like to
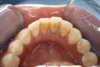
Before - Figges Marsh Dental

Before

After - Figges Marsh Dental

After

Would you like to achieve a similar result for your smile? Call us today on: 020 8648 3294

Back to smile gallery

Get in touch

Testimonials

rating thumb1

Figges Marsh Dental Surgery is an excellent Dental Practice with a great team from the amazing and welcoming Reception Team, to the amazing Doctors,...

J. Aguoru

Learn More

Testimonials

rating thumb1

Lovely dentists and staff. I have been with this dentist company for over 30 years. Very kind and helpful, especially during closures. Soon as they op...

P. Willat

Learn More

Testimonials

rating thumb1

Dr Ameeka was calm, very thorough and excellent at communicating everything during my visit. Taking the time to go through my X-rays with me was a nic...

J. Hallett

Learn More

Testimonials

rating thumb1

I have never met a Dentist like Sophia. She was very open, honest and explained everything to me that I needed from start to finish. If there is anyth...

K. Pabari

Learn More

Testimonials

rating thumb1

We attended today with our 2 young children and the dentist, Ameeka, was very professional and kind. She explained everything brilliantly to the child...

B. Karia

Learn More

Testimonials

rating thumb1

The best dentist I've used. I moved house a few years ago and decided to use an alternative dentist but had to come back and glad I did. I've been in...

G. Lindsay

Learn More

Testimonials

rating thumb1

At the beginning of July, whilst visiting my dad, part of my tooth fell out. The practice made me an appointment and saw me very quickly. Ameeka was s...

S. Capel

Learn More

Testimonials

rating thumb1

Was a very nervous and scared patient, who had never had an injection without sedation. Figges Marsh dental team are fantastic they put me at ease an...

V. Snelling

Learn More

Testimonials

rating thumb1

Amazing and considerate members of staff. They genuinely want the best for your dental health, teaching you how you can improve your dental hygiene an...

K. Tan

Learn More

Testimonials

rating thumb1

I made an emergency appointment today I got it within during this pandemic I am very happy with Dentist Ameeka and Maria and with her team very helpf...

M. Haulkory

Learn More

Testimonials

rating thumb1

Great staff everybody is very polite and they always have a smile on their face. I would also like to give a big thank you to Ameeka. She was absolute...

J. Jah

Learn More

Testimonials

rating thumb1

My tooth broke a couple of weeks ago and started to give me pain. I phone my normal dentist and spoke to the receptionist, who told me they were fully...

D. Evans

Learn More

Testimonials

rating thumb1

I recently attended for my routine appointment at this dental surgery. The reception staff are polite, helpful and professional which is always a plus...

L. Kinlocke

Learn More

Testimonials

rating thumb1

Since I've been training, I had a remarkable chance to see an inside out of the practice and to get to know the each and everyone as well as meet many...

Z. Ilona

Learn More

Testimonials

rating thumb1

I have been treated at this surgery for many years now and I must say that it is much improved since it was taken over by new management. The surgery...

B. Bernard

Learn More

General Dentistry

Speak to us about looking after your smile

Cosmetic Dentistry

Safe and effective cosmetic dentistry in a comfortable environment

Teeth Straightening

Satisfaction and positive confidence with Invisalign®

Dental Implants

Dental implants. Designed to fit. Designed to last

0%APR Finance Available

Spread the cost of your treatments (subject to affordability, age and status - minimum spend applies)

Learn More

Packages

Check our latest Packages

Learn More
header icon3
Google Google Rating 4.7
4.7
Google Rating
Now offering wrinkle correction treatments and fillers at competitive prices.
Free consultations available by our qualified clinicians.
Contact Us
8"-->8"--> 8"-->8"-->8"-->8"-->8"-->8"-->8"-->8"-->8"-->8"-->8"-->8"-->8"-->8"-->8"-->8"-->8"-->8"-->8"-->8"-->8"-->8"-->8"-->8"--> 8"-->8"--> 8"-->